Affirm® software voor contrastbiopsie

Combineer contrastversterkte mammografie met nauwkeurige targeting van laesies in één naadloze workflow, voor een efficiënte borstbiopsieprocedure.

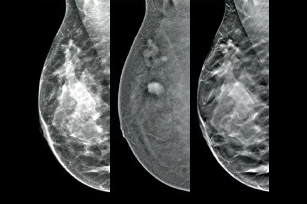
3D contrastmammografie op een computerscherm

    Overzicht

    Documenten

    Training

    Een betere toekomst voor borstbiopsie

    De Affirm® contrastbiopsie solution maakt de targeting en het verkrijgen van borstweefsel mogelijk in laesies die zijn geïdentificeerd tijdens contrastversterkte mammografie (CEM). De complete contrastbiopsie solution is ontworpen om de efficiëntie van de workflow te maximaliseren, tegelijkertijd de ervaring van de patiënt te verbeteren en het borstbiopsieproces te vereenvoudigen,* ook bij lastige procedures.

    Biopsie met contrast

    Target en neem een biopsie af van met 2D-contrastversterkte mammografie geïdentificeerd laesies door middel van een stereotactische procedure, met vergelijkbare diagnostische prestaties als bij een borst-MRI-procedure.1,2 Vergelijk post-marker-beelden in dezelfde modaliteit als het initiële diagnostische contrastonderzoek.

    Efficiënte klinische workflow

    Verbeter de diagnose-ervaring door de biopsie uit te voeren in dezelfde ruimte als de diagnostische beeldvorming. Het combineren van Affirm software voor contrastbiopsie met het Affirm upright geleidingssysteem voor borstbiopsie biedt een vertrouwde workflow, vanwege de overeenkomsten met stereotactische biopsie.

    Verbeterde patiëntervaring

    Verbeter de patiëntervaring met een kortere proceduretijd, hogere verdraagbaarheid en toegankelijkheid in vergelijking met borst-MRI.2,3 Patiënten ervaren de vertrouwdheid van dezelfde ruimte en dezelfde apparatuur die zijn gebruikt bij hun diagnostisch mammogram.

    Illustratie van het zorgcontinuüm voor borstgezondheid met radiologie van Hologic

    Het tijdsvoordeel ontgrendelen

    Het zorgcontinuüm voor borstgezondheid biedt geïntegreerde solutions voor klinisch vertrouwen, workflowefficiëntie en patiëntenzorg met compassie. Geeft meer vrouwen meer tijd met betere gezondheid.

    De Affirm software voor contrastbiopsie maakt deel uit van de breast biopsy solution van Hologic.

    Vergroot de diagnostische zekerheid

    Met Affirm software voor contrastbiopsie kunt u een biopsie uitvoeren op laesies die zijn geïdentificeerd tijdens de I-View™ contrastversterkte 2D-mammografie. Door gebruik te maken van de mogelijkheid om 2D-, contrastversterkte en tomosynthese-afbeeldingen te bieden onder één compressie,4 maakt het Affirm upright geleidingssysteem voor borstbiopsie een snelle overgang van screening naar biopsie mogelijk, door gebruik te maken van dezelfde beproefde beeldvormingsketen5 als het mammografiesysteem om 3D™ visualisatie van verdachte laesies te verbeteren.**

    afbeelding van patiënte die borstbiopsieafdeling bezoekt

    Bezoek ons virtuele ziekenhuis

    Blader door onze portfolio van borstgezondheid solution in 3D. Zie hoe u het tijdsvoordeel kunt ontgrendelen binnen het gehele zorgcontinuüm voor borstgezondheid.

    Ontdek onze complete contrastbiopsie solution

    Affirm® software voor contrastbiopsie, in combinatie met I-View-contrastversterkte beeldvorming en het Affirm upright geleidingssysteem voor borstbiopsie, levert een efficiëntere borstbiopsieprocedure.

    Een efficiënt en kosteneffectief alternatief voor MRI

    Functionele beeldvorming met gebruik van CEM doet het goed in vergelijking met een borst-MRI, met vergelijkbare gevoeligheid, hogere specificiteit en een hogere positieve voorspellende waarde.7,8 Bovendien biedt CEM een kosteneffectief alternatief voor diagnostische beeldvorming9 ten opzichte van MRI, met een kortere proceduretijd.7,10

    Affirm-accessoire voor upright biopsie met laterale arm bevestigd aan een 3Dimensions gantry

    Bewijs. Inzicht. Samenwerking.

    Ons onderwijsportaal verbetert de patiëntenzorg door excellentie in onderwijs, communicatie van klinisch en wetenschappelijk bewijs en partnerschappen met de gezondheidszorggemeenschap.

    Insights

    Radiologen beoordelen tomosynthesemammografie op een scherm Radiologen beoordelen tomosynthesemammografie op een scherm

    Resultaten ToSyMa-studie, een 3D-toekomst voor borstkankerscreening

    Vrouwen zitten voor een mammografieapparaat met een medisch zorgverlener aan hun zijde. Vrouwen zitten voor een mammografieapparaat met een medisch zorgverlener aan hun zijde.

    Programma's voor borst- en baarmoederhalsscreening nu en in de toekomst

    Twee vrouwen zitten overdag buiten op een bankje Twee vrouwen zitten overdag buiten op een bankje

    Welkom op Hologic.nl

      * Vergeleken met MRI-procedures. 
        ** Vergeleken met stereotactische vacuümondersteunde biopsie in buikligging.

      1. Alcantara R, Posso M, Pitarch M et al., Contrast-enhanced mammography-guided biopsy: technical feasibility and first outcomes. Eur Radiol. 2023 Jan;33(1):417-428.
      2. Kamal R, Mansour S, Farouk A et al., Contrast-enhanced mammography in comparison with dynamic contrast-enhanced MRI: which modality is appropriate for whom?, Egypt J Radiol Nucl Med 52, 216 (2021)
      3. Hobbs MM, Taylor DB, Buzynski S et al. Contrast-enhanced spectral mammography (CSEM) and contrast enhanced MRI (CEMRI): Patient preferences and tolerance. J Med Imaging Radiat Oncol. 2015;59(3):300-305.
      4. Chou C, Lewin J, Chlang C et al. *Clinical Evaluation of Contrast-Enhanced Digital Mammography and Contrast Enhanced Tomosynthesis-Comparison to Contrast- Enhanced Breast MRI* Eur J Radiol. 2015 Dec; 84(12):2501-8. [Epub 2015 Oct1].
      5. Schradling S, Distelmaier M, Dirrichs T et al. Digital Breast Tomosynthesis-guided Vacuum-assisted Breast Biopsy: Initial Experiences and Comparison with Prone Stereotactic Vacuum-assisted Biopsy. Radiology. 2015 274:3,654-662.
      6. PLN-10394_001_01 – Affirm Contrast Biopsy Study.pdf.
      7. Li L, Roth R, Germaine P et al. Contrast-enhanced spectral mammography (CESM) versus breast magnetic resonance imaging (MRI): A retrospective comparison in 66 breast lesions. Diagn Interv Imaging. 2017;98(2):113-123
      8. Xing D, Lv Y, Sun B et al. Diagnostic value of contrast-enhanced spectral mammography in comparison to magnetic resonance imaging in breast lesions. J Comput Assist Tomogr. 2019;43(2):245–251
      9. Patel B, Gray R, Pockaj B et al. Potential Cost Savings of Contrast-Enhanced Digital Mammography. AJR Am J Roentgenol. 2017;208(6):W231-W237.
      10. Coffey K, Jochelson MS. Contrast-enhanced mammography in breast cancer screening. Eur J Radiol. 2022;156:110513.

      Veiligheidsinformatie

      Gebruiksaanwijzingen

      2797
      0482

      Hologic BV, Da Vincilaan 5, 1930 Zaventem, Belgium.

      Nummer van aanmeldingsinstantie indien van toepassing